REKONSTRUKTIVE ZAHNMEDIZIN
Hierbei liegt der Grundstein auf der Wiederherstellung der Kaufähigkeit und der Ästhetik. Dabei werden verschiedene Methoden und Materialien verwendet.
Weitere Informationen finden Sie auf den folgenden Seiten. Sollten Sie Fragen oder Anregungen haben, nehmen Sie bitte umgehend Kontakt mit uns auf.
Kronen werden aus verschiedenen Materialien gefertigt und können über Zähne und Implantate gesetzt werden. Die Auswahl des Materials wird besonders von der Stelle beeinflusst, an der sie eingesetzt werden soll. Eine Krone im sichtbaren Bereich wird heute oft aus Zirkon und/oder Keramik gefertigt. Eine Krone die normaler Weise nicht sichtbar ist kann ausschliesslich aus Gold gefertigt werden.
Jede Krone hat, egal welche Stelle oder Material, die Aufgabe, den verloren gegangenen Zahnteil, wieder zu vervollständigen. Dabei wird die Krone über den Zahn gestülpt und fest zementiert. Diese Methode schützt den Restzahn davor, weiter zerstört zu werden.
Verschiedene Arten von Kronen:
- Keramisch verblendete Metallkrone (VMK-Krone)
- Stiftkrone
- Vollkeramikkrone (z.B. Zirkon)
- Vollgusskrone (Gold)
- Veneer (Teilkrone)
Gerne beraten wir Sie bei einem persönlichen Gespräch ausführlicher. Nehmen Sie einfach Kontakt mit uns auf.
-
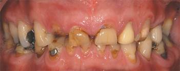
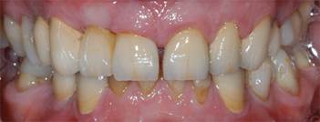
Ausgangslage: Reduzierte Ästhetik und Kaufunktion aufgrund von fehlenden und teilweise stark zerstörten Zähnen. -
Schlusssituation: Wiederherstellung der Ästhetik und Kaufunktion mit VMK-Kronen und –Brücken, sowohl auf Zähnen wie auf Implantaten.
-
Ausgangslage: Für die Patientin unbefriedigende Ästhetik und Zahnstellung. Die Zähne sind gaumenseitig stark abgenützt. -
Schlusssituation: Verbesserung der Ästhetik und Zahnstellung mit keramisch-verblendeten Zirkonkronen.
Brücken dienen dazu, Zahnlücken zu überbrücken. Diese Methode findet vor allem dann Anwendung, wenn die Nachbarzähne ebenfalls eine Behandlung brauchen, oder aber das Knochenangebot für Implantate und eine Implantatkrone zu gering ist.
Brücken können aber auch über den gesamten Zahnbogen angefertigt werden, zum Ersatz mehrerer fehlender Zähne.
Auch Brücken können aus verschiedenen Materialien (Gold, Zirkon und/oder Keramik) hergestellt werden.
-
Ausgangslage: Reduzierte Kaufähigkeit wegen fehlenden Zähnen rechts. -
Schlusssituation: Ergänzung der fehlenden Zähne mit einer Implantatbrücke rechts und neuen Kronen (Zirkon) links.