CHIRURGIE
In diesen Bereich gehören alle chirurgischen Eingriffe, bei denen Korrekturen an Zähnen und/oder Kieferknochen vorgenommen werden.
Hierzu gehören die einfache Entfernung von Zähnen aber auch komplizierte Entfernungen von z.B. verlagerten Weisheitszähnen. Auch Wurzelspitzenresektionen gehören in diesen Bereich.
Ausserdem übernehmen wir auch den ganzen Prozess der Implantologie, sowie parodontal-chirurgische Eingriffe.
-
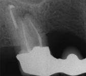
Das Ausgangsröntgenbild zeigt eine chronische Entzündung bei einer Wurzel. Die Brücke auf diesem Zahn ist noch intakt und muss nicht entfernt werden. Zur Rettung dieser Brücke kann die Wurzelspitze mit der Entzündung selektiv entfernt werden. -
Durch eine kleines Knochenfenster wird der entzündliche Anteil entfernt und die Wurzelspitze dicht verschlossen. -
Ein Jahr nach der Operation präsentieren sich gesunde Verhältnisse. Die Brücke konnte belassen werden.