IMPLANTOLOGIE
Implantate dienen seit etwa 1980 als künstliche Zahnwurzel zur Verankerung von Zähnen oder Prothesen. Dabei werden Implantate aus Titan in den Knochen des Ober- oder Unterkiefers operativ eingedreht.
In der Regel wird nach einer Einheilungszeit von 4-6 Wochen auf dem Implantat der festsitzende oder abnehmbare Zahnersatz fixiert. Bei guten Voraussetzungen kann das Implantat aber auch sofort belastet werden (sog. Sofortbelastung).
Grundvoraussetzung für eine Implantattherapie ist ein genügendes Knochenangebot. In Fällen mit zu wenig Knochen kann dieser in den meisten Fällen ‚künstlich’ aufgebaut werden, dies z.B. mit einem Sinuslift.
Indikationen für Implantate sind einzelne fehlende Zähne, vor allem dann, wenn die Nachbarzähne noch karies- und füllungsfrei sind. Ferner können grössere Zahnlücken mit einer Implantatbrücke ergänzt werden. Aber auch in zahnlose Kiefer können Implantate gesetzt werden, dies z.B. zur Verankerung von Prothesen.
Vorteile
- Unabhängig von Nachbarzähnen
- Ästhetik
- Gefühl wie natürliche Zähne
- Gute Verankerung von Prothesen
Nachteile
- Langer Behandlungszeitraum
- Wird operativ eingesetzt
-
In zwei bestehende Einzelzahnlücken werden je 1 Implantat gesetzt, unter anderem mit Hilfe der Osteotomtechnik zur Verbesserung des Knochenangebotes. -
Eine Woche nach der Operation ist die Schleimhaut schon fast wieder reizlos und die Wunden gut verheilt.
-
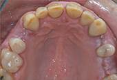
Ausgangslage: Der Patient wünscht sich nach Jahren der Zahnlosigkeit im Oberkiefer einen festsitzenden Zahnersatz. Der Knochenabbau ist noch -
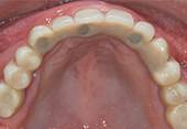
Die mit einem speziellen Verfahren hergestellte Chirurgieschablone ermöglicht eine sehr atraumatische Chirurgie (ohne Aufklappung der -
Schlusssituation: Die gute Positionierung der Implantate ermöglichte die Herstellung einer verschraubten, festsitzenden