PARODONTOLOGIE
Die Parodontologie ist die Lehre des Zahnhalteapparates. Im Rahmen der Parodontologie werden entzündete Zahnhalteapparate (Parodontitis) behandelt. Dies geschieht einerseits durch eine professionelle Zahnreinigung mit Entfernen von Zahnstein und Plaque. Andererseits ist aber auch die korrekte Mundhygiene seitens der Patienten wichtig (Prophylaxe).
Sollte die Parodontitis schon weiter fortgeschritten sein, lässt sie sich oft nur noch mit parodontal-chirurgischen Eingriffen erfolgreich bekämpfen. Dazu gehören unter anderem die Zahnreinigung 'unter Sicht' oder z.B. eine Wurzelamputation. Bei gesundem und stabilem Zahnhalteapparat kann das verloren gegangene Gewebe zum Teil wieder ergänzt werden, z.B. durch Rezessionsdeckungen oder Bindegewebschirurgie.
-
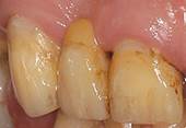
Ausgangslage: Es besteht ein relativ grosses Weichgewebedefizit im Bereich des Brückenzwischengliedes, welches dadurch 'unästhetisch' wirkt. -
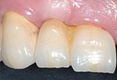
Durch ein kleines Bindegewebe-Schleimhauttransplantat aus dem Gaumen kann das verlorengegangene Gewebe ergänzt werden. -
Schlusssituation: Durch das wiedergewonnene Gewebe konnte das Brückenglied kürzer und damit ästhetischer gestaltet werden.